Soru Bankası

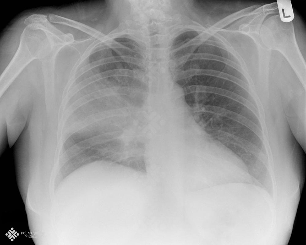
31 yaşında erkek hasta 4 gündür süren yüksek ateş, öksürük ve yeşil renkte balgam çıkarma şikayetleriyle acil servise başvuruyor. Anamnezinden diyabet hastalığın olduğu, şikayetlerinin her gecen gün arttığı , sınıf öğretmeni olduğu öğreniliyor. Hasta yeşil alan doktoru tarafından; GKS'u 15 Nabız: 96 atım/dk düzenli ; Ateşi 38,7 °C ; Solunum sayısı: 18/dk ; SpO2: 98 ; KŞ: 100 ve Kan Basıncı: 120/80 mm/Hg olarak değerlendiriliyor. Fizik muayenede; sol akciğer solunum sesleri azalmış ve orta zonda ral duyuluyor diğer sistemler doğal olarak değerlendiriliyor. Acil hekimi aşağıda görüldüğü gibi hastadan PA akciğer grafisi istiyor. Bu bilgilere göre bundan sonra hastaya uygulanacak en uygun yaklaşım ne olmalıdır?
Öğrenim Noktaları
Pnömoni Olgularında Klinik
Tipik Pnömoniler (Streptococcus pneumoniae gibi)
- Akut başlangıçlıdır.
- Ateş, üşüme, titreme, prodüktif öksürük, plöretik göğüs ağrısı sıktır.
- Fizik bakıda krepitan raller veya konsolidasyon bulguları saptanır.
- Radyolojik olarak sıklıkla lober tutulum izlenir.
- Komplikasyon olarak parapnömonik efüzyon, ampiyem ve abse gelişimi atipik pömonilerden daha sıktır.
- Genellikle lökositoz ve nötrofili vardır.
Atipik Pnömoniler (Chlamydophila pneumoniae, Mycoplasma pneumoniae ve Legionella pneumophila)
- Subakut gelişir.
- Genellikle kas ağrısı, baş ağrısı, karın ağrısı gibi prodromal belirtiler vardır. Ateş genellikle subfebril olup daha çok kuru öksürük mevcuttur.
- Fizik bakı bulguları siliktir, astmatik bulgular ( ekspiryum uzunluğu, ronküsler) eşlik edebilir.
- Radyoloji ile fizik bakı bulguları uyumsuzdur. Daha çok subsegmental infiltrasyonlar, dağınık yama tarzında ya da retiküler opasiteler izlenir.
- Lökosit düzeyi genellikle normaldir.
Sınıflama
Güncel pnömoni sınıflaması hastalığın oluşma şekline ve ampirik tedavi yaklaşımına göre yapılmaktadır.- Toplumdan Edinilmiş Pnömoni :Hastane dışında edinilen herhangi bir pnömoniye toplum kökenli pnömoni (TKP) adı verilir.
- Hastane Kökenli Pnömoniler: Hastane gibi yatılı bir ortamda kabul edildikten 48 saat sonra ve kabul sırasında kuluçkada olmayan herhangi bir pnömoni HAP olarak kabul edilir. Bu sınıflandırma, sağlık hizmetiyle ilişkili ve hastane kaynaklı pnömoni terimlerini çevreleyen karışıklığı gidermeye yardımcı olur.
- Ventilatör İlişkili Pnömoni: Endotrakeal entübasyondan 48 saat sonra edinilen pnömoni VİP olarak kabul edilir.
- Streptococcus pneumoniae (%23.4)
- Mycoplasma pneumoniae (%21.9)
- Respiratuar sinsityal virüs (RSV) (%16)
Tanı
Uygun semptom ve fizik bakı bulguları varlığında, akciğer grafisinde infiltrasyon görülmesi tanı için yeterlidir.Tedavi
Toplum Kökenli Pnömoni Antibiyotik Önerileri 2019 ATS/IDSA Kılavuzu
1-Komorbiditeleri veya antibiyotiğe dirençli patojenler için risk faktörleri olmayan sağlıklı ayaktan yetişkinler için öneriler- Amoksisilin 1gr günde üç kez (güçlü öneri, orta düzeyde kanıt kalitesi) veya
- Günde iki kez 100 mg doksisiklin (şartlı öneri, düşük kanıt kalitesi) veya
- Bir makrolid
- Azitromisin ilk gün 500 mg ve sonra 250 mg/gün veya
- Klaritromisin, günde iki kez 500 mg veya
- Klaritromisin uzun salınımlı tablet günde 1000 mg/gün), Sadece makrolidlere karşı pnömokok direnci <% 25 olan bölgelerde (şartlı öneri, orta derecede kanıt)
Birden fazla tedavinin bir arada uygulanması:
- Birinci İlaç
- Amoksisilin / klavulanat 500 mg / 125 mg günde üç kez veya
- Amoksisilin / klavulanat 875 mg / 125 mg günde iki kez veya
- Amoksisilin / klavulanat 875 mg 2.000 mg / 125 mg günde iki kez veya
- Sefpoksoksim 200 mg günde iki kez veya
- Sefuroksim 500 mg günde iki kez veya
- İkinci İlaç
- Azitromisin ilk gün 500 mg ve sonra 250 mg/ gün 250 mg, veya
- Klaritromisin günde iki kez 500 mg veya
- Klaritromisin uzatılmış salımlı 1000 mg günde bir kez veya (güçlü öneri, kombinasyon tedavisi için orta kalitede kanıt)
- Doksisiklin 100mg günde iki kez (şartlı öneri, kombinasyon tedavisi için düşük kanıt kalitesi)
Monoterapi uygulanması:
- Gemifloksasin 320 mg günde tek doz veya
- Levofloksasin 750 mg günde tek doz veya
- Moksifloksasin 400 mg günde tek doz (güçlü öneri, orta kanıt kalitesi)