Soru Bankası
Hazırlık / Yan Dal Sınavı / 2023
⚡⚡

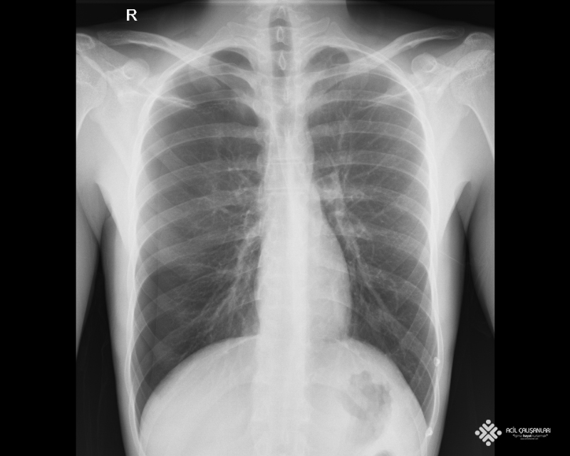
20 yaşında erkek hasta göğüs ağrısı nedeni ile acil servise başvuruyor. Hasta öyküsünde sigara içicisi olduğunu ve birden göğüsünde batma tarzında ğöğüs ağrısı ve merdiven çıkarlen nefes darlığı olduğunu belirtiyor. Hasta yeşil alan doktoru tarafından; GKS'u 15 Nabız: 80 atım/dk düzenli ; Ateşi 36,7 °C ; Solunum sayısı: 14/dk ; SpO2: 98 ; KŞ: 100 ve Kan Basıncı: 140/90 mm/Hg olarak değerlendiriliyor. Fizik muayenede normal olarak değerlendiriliyor. Acil hekimi hastadan aşağıda görülmekte olan akciğer grafisini istiyor. Bu bilgilere göre bundan sonra hastaya uygulanacak en uygun yaklaşım ne olmalıdır?
A) Çekilen akciğer grafisi normal görünmektedir. Bu yüzden diğer kan tetkikleri sonuçlana kadar hastaya semptomatik tedavi açısından diclofenac (Dikloron®)75 mg ampul 1x1 İM yapılmalı ve tetkikler çıkınca tekrar değerlendirilmelidir.
B) Çekilen akciğer grafisi normal görünmektedir. Bu yüzden diğer kan tetkikleri sonuçlana kadar beklenmeli ve tetkikler çıkınca tekrar değerlendirilmelidir.
C) Çekilen ayakta akciğer grafisinde sol hemitoraksta pnömotoraks görünmektedir. Bu yüzden göğüs cerrahisine konsülte edilmeli ve yeşil alanda göğüs cerrahisi gelene kadar beklenmelidir.
D) Çekilen akciğer grafisinde sağ hemitoraksta pnömotoraks görünmektedir. Bu yüzden hasta, spontan pnömotoraks düşünülerek monitörize takip ve tüp torakostomi yapılacak alana çekilmeli ardından göğüs cerrahisine konsülte edilmelidir.
E) Çekilen akciğer grafisinde sol hemitoraksta pnömotoraks görünmektedir. Bu yüzden hasta, spontan pnömotoraks düşünülerek monitörize takip ve tüp torakostomi yapılacak alana çekilmeli ardından göğüs cerrahisine konsülte edilmelidir.
Öğrenim Noktaları
Geçmişinde herhangi bir travma hikayesi bulunmadan veya klinik ya da radyolojik olarak parankimal akciğer hastalığı olmadan subplevral büllerin rüptüre olması sonucu plevral boşlukta hava birikmesi durumuna primer spontan pnömotoraks (PSP) denir. Hayatı tehdit eden, ciddi bir durum olan primer spontan pnömotoraks çocuklarda astenik yapılı erkeklerde daha fazla olmak üzere, en sık prepubertal dönemde, sporla uğraşanlarda ve sigara içenlerde gelişir. Sigara ile pnömotoraks arasındaki açık bağlantıya karşın, genç hastaların %80-86’sı ilk PSP ataklarından sonra sigara içmeye devam etmektedir. Sigara, boy ve >60 yaş olmak gibi izole risk faktörleri ile birlikte ilk 4 yıl içerisinde PSP nüks riski %54’e kadar ulaşmaktadır. SSP nüksü için risk faktörleri yaş, akciğer fibrozisi ve amfizemi kapsamaktadır. Bu nedenle pnömotoraks gelişiminden sonra çabalar sigaranın bıraktırılmasına yöneltilmelidir. Klinik Pnömotoraksın tipik semptomları olan nefes darlığı ve göğüs ağrısı olabildiği gibi hastanın hiçbir şikayeti olmayabilir de. Asemptomatik hastalar bu yüzden birkaç gün sonra başvurabilirler. Ani gelişen nefes darlığı ve göğüs ağrısı şikayetleri acil servislerde sıklıkla kardiak patolojileri akla getirilmeli ve bu yönde tetkik ve tedaviyi öncelikli istenmelidir. Çoğu hasta; ani başlayan akut plöritik göğüs ağrıdan yakınır ve etkilenen bölgede solunum sesleri azalır. Dispne nispeten daha hafif olabilir ya da hiç olmayabilir. Yüksek hacimli pnömotoraks; dispne, taşikardi, hipotansiyon ve hipoksiye (siyanoz) neden olur. bu nedenle başlangıçta bu tanı olasılığınıda akıldan çıkarmamak gerekir. Bu nedenle pek çok hastada özellikle de Primer Spontan Pnömotoraks (PSP)’li olanlarda semptomların başlamasından günler sonra ortaya çıkarlar. Bu süre ne kadar uzunsa re-ekspansiyona bağlı pulmoner ödem riski (RPÖ) de o kadar yüksektir.