Soru Bankası
Hazırlık / Yan Dal Sınavı / 2024
⚡

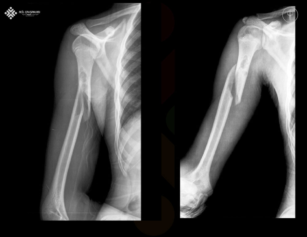
20 yaşında bir erkek hasta, futbol oynarken üst ekstremitesinde meydana gelen bir yaralanma nedeniyle acil servise başvuruyor. Gelmeden önce çok ağrısı olduğu için ağrı kesici aldığını belirtiyor. Hasta acil hekimi tarafından değerlendirildiğinde sağ önkol ve elin lateral tarafında uyuşukluk olduğu saptanıyor. Hastaya hemen aşağıda görüldüğü gibi sağ humerus grafisi isteniyor. Bu tür bir yaralanmada aşağıdaki klinik bulgulardan hangisinin görülmesi beklenir?
A) A- Elin ekstansiyonunda azalma
B) B- Elin fleksiyununda azalma
C) C- Ön kolda pronasyon kaybı
D) D- 5. parmakta uyuşukluk
E) E- Küçük objeleri tutamama
Öğrenim Noktaları
Humerus kırığı olan hastalarda radial sinir yaralanabilir çünkü radial sinir kemiğin lateral sınırındaki radial oluktan geçer. Bu tür bir yaralanmada, hastada bilek ekstansiyonunda zayıflık ve parmaklarını uzatamama görülür. Radial sinirdeki bir lezyon dirsek ekleminin yukarısında olduğunda, hasta radial sinirin dermatomu boyunca önkol ve elde uyuşukluktan da şikayet edebilir. Bilgisayarlı Tomografi (BT), MR kadar hassas olmasa da, acil durumlarda sıklıkla daha önce yapılır ve tarama yöntemi olarak kullanılır. Kontrastlı çekilen beyin tomografisinde görüntüleme bulguları lezyonun evresine bağlıdır. Erken serebrit genellikle düzensiz, düşük yoğunluklu bir alan olarak ortaya çıkar ve bu alan artmaz ya da seyrek olarak yamalı bir şekilde artabilir. Serebrit ilerledikçe, daha belirgin, kenarları genişleyen bir lezyon görünür hale gelir. Geç apsesi olan hastalarda seri BT incelemeleri giderek azalan ödem ve kitle etkisi gösterir. Beyin apsesi duvarı genellikle pürüzsüz ve düzenlidir, 1 mm ila 3 mm kalınlığındadır ve parankimal ödem ile çevrilidir.