Soru Bankası
Hazırlık / Yan Dal Sınavı / 2023
⚡⚡

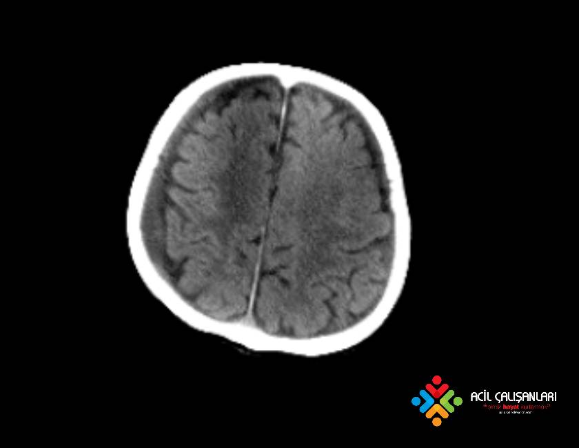
65 yaşında erkek hasta, bilinç değişikliği, saçmalama şikayeti ile acil servise başvuruyor. Hastanın öyküsünde bakıcısı ile kaldığı, birkaç gündür hareketlerine anormallik olduğu, ara ara saçmaladığı öğreniliyor. Hasta acil hekimi tarafından değerlendirildiğinde; GKS:15 Nabız: 92 atım/dk düzenli ; Solunum sayısı: 16/dk ; SpO2: 96 ; KŞ: 110 ve Kan Basıncı: 110/60 mm/Hg olarak değerlendiriliyor. Fizik mueyenede nöromotor sağlam, diğer sistemler normal olarak saptanıyor. Acil hekimi aşağıda görüldüğü gibi hastanın beyin tomografisini çekiyor. Bundan sonraki tanı ve yaklaşım ne olmalıdır?
A) Akut subaraknoid kanama olarak hasta değerlendirilir, beyin cerrahi konsültasyonu istenir.
B) Akut epidural kanama olarak hasta değerlendirilir, beyin cerrahi konsültasyonu istenir.
C) Akut subdural kanama olarak hasta değerlendirilir, beyin cerrahi konsültasyonu istenir.
D) Subakut subdural kanama olarak hasta değerlendirilir, beyin cerrahi konsültasyonu istenir.
E) Kronik subdural kanama olarak hasta değerlendirilir, beyin cerrahi konsültasyonu istenir.
Öğrenim Noktaları
Subdural hematom, beynin yüzeyinde, duramater adı verilen koruyucu zarın hemen altında meydana gelen hemrajidir. Subdural kanamada, kanama genellikle venlerden kaynaklanır ve yavaş ilerler, dolayısıyla belirtilerin ortaya çıkması bazen günler hatta haftalar alabilir. Subdural hematomlar, dura ve araknoid membranlar arasında subdural aralıkta, köprü venlerinin yırtılması sonucu gelişen ve radyolojik olarak konkav (yarım ay) şeklindeki kanamalardır. Bazen %20-30 vakada arteryel rüptürden de kaynaklanabilir. Kanama genellikle venlerden kaynaklanadığı için klinik yavaş ilerler, dolayısıyla belirtilerin ortaya çıkması bazen günler hatta haftalar alabilir. Subdural hematom genellikle yaşlılarda görülür. Gençlerde nadir görünen subdural hematom çoğu zaman travma sebebiyle oluşur. Subdural hematom yaşlılarda ve erkeklerde daha fazla görülmektedir. Etiyolojiye bakıldığında trafik kazaları ve düşmeler en sık sebebi oluşturmakta olup diğer nedenler arasında ateşli silah yaralanması, darp ve spontan kanamalar yer almaktadır. Özellikle ağır kafa travmalı olgularda görülme insidensi %30’dur. Subdural hematom travmadan itibaren hematomun ortaya çıkma süresine göre akut, subakut ve kronik olarak sınıflandırılmaktadır.
Acil serviste subdural hematom saptanan hastalar beyin cerrahisine danışırlır. Tedavi yöntemi hastanın klinik durumu, hematomun tomografik bulgusu, yaşı ve komorbitide durumlarının varlığına göre değişebilir. Subdural hematomunlu hastaların klinik takiplerinde %60 hastada oluşan hematomun kendiliğinden rezorbe olduğunu saptanmıştır.
- Akut: 3 güne kadar
- Subakut: 4 gün ile 20 gün arası
- Kronik: 21 gün ve üzeri
Acil serviste subdural hematom saptanan hastalar beyin cerrahisine danışırlır. Tedavi yöntemi hastanın klinik durumu, hematomun tomografik bulgusu, yaşı ve komorbitide durumlarının varlığına göre değişebilir. Subdural hematomunlu hastaların klinik takiplerinde %60 hastada oluşan hematomun kendiliğinden rezorbe olduğunu saptanmıştır.