Soru Bankası
Hazırlık / Yan Dal Sınavı / 2023
⚡⚡⚡

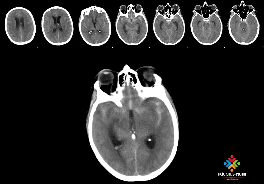
46 yaşında erkek hasta şiddetli baş ağrısı ve bilinç değişikliği nedeniyle acil servise başvuruyor. Acil servis hekimi hastayı değerlendirdiğinde: baş ağrısının ani başladığını, çok şiddetli olduğunu ve sonrasında hastada bilinç değişikli geliştiğini öğreniyor. Hastanın genel durumu kötü, oryente koopere değil, GKS 7, kan basıncı 240/100 mmHg, kalp hızı 88 atım/dk, oda havasında oksijen satürasyonu % 96 ve ateşi 36,5'C olarak saptanıyor. Fizik muayenede nöromotor net değerlendirilemiyor diğer sistemler doğal olarak değerlendiriyor. Acil hekimi hemen hastayı entübe ediyor, hastanda kan testi istiyor ve sonrasına aşağıda görüldüğü gibi kontrastsız beyin bt çektiriyor. Bu hasta için acil serviste en uygun tedavi yaklaşımı ne olmalıdır?
A) Hasta iskemik SVO olarak değerlendirilir. Antihipertansif tedavi olarak Nikardipin (Ninax®) başlanır.
B) Hasta iskemik SVO olarak değerlendirilir. Antihipertansif tedavi olarak Nitrogliserin (Perlinganit®) başlanır
C) Hasta subaraknoid kanama olarak değerlendirilir. Antihipertansif tedavi olarak Nikardipin (Ninax®) başlanır.
D) Hasta epidural kanama olarak değerlendirilir. Antihipertansif tedavi olarak Nikardipin (Ninax®) başlanır.
E) Hasta subaraknoid kanama olarak değerlendirilir. Antihipertansif tedavi olarak Nitrogliserin (Perlinganit®) başlanır.
Öğrenim Noktaları
Subaraknoid kanama (SAK), kanın beyin omurilik sıvısının (BOS) bulunduğu pial ve araknoid membranlar arasındaki subaraknoid boşluğa (ekstravazasyon) kanın geçmesi durumudur. Travmatik veya spontan oluşabilir. En yaygın olanı kafa travması sonucunda travmatik meydana gelir. Travmatik olmayan subaraknoid kanamalar arteryel nadiren de venöz nedenlere bağlı olarak meydana gelir ve sıklıkla anevrizma rüptürü (% 85) sonucu ortaya çıkar. Orta ve ileri yaş grubunda önemli bir morbidite ve mortalite nedenidir. Anevrizmal SAK hastalarının klasik başvurusu tipik olarak “hayatımın en şiddetli baş ağrısı” olarak tanımlanan ani başlayan şiddetli bir baş ağrısıdır. Bu tür baş ağrısı olan her hasta SAK için mutlak değerlendirilmelidir. Baş ağrısı genellikle izole bir bulgudur. Hastalar çoğunlukla baş ağrısını “yıldırım çarpması” (thunderclap) şeklinde ani başlayan maksimum şiddete hızlı ulaşan şiddetli bir baş ağrısını şeklinde ifade ederler.
Subaraknoid kanamada başlıca acil tedavi yaklaşımları öncelikle hastanın stabilizasyon ve yaşamsal işlevlerin takip edilmesi, desteklenmesini ve SAK’ın genel sistemik ve özel komplikasyonlarının tedavisini kapsar. Hastaların monitörize edilmesi , güvenilir bir hava yolunun sağlanması ve desteklenmeli ve kan basıncı yeterli serebral kan akımını sağlamak için otoregülasyon sınırları içinde kontrol altında tutulmalıdır.
Subaraknoid kanamada başlıca acil tedavi yaklaşımları öncelikle hastanın stabilizasyon ve yaşamsal işlevlerin takip edilmesi, desteklenmesini ve SAK’ın genel sistemik ve özel komplikasyonlarının tedavisini kapsar. Hastaların monitörize edilmesi , güvenilir bir hava yolunun sağlanması ve desteklenmeli ve kan basıncı yeterli serebral kan akımını sağlamak için otoregülasyon sınırları içinde kontrol altında tutulmalıdır.
Acil Servis Yaklaşımı
- BCDE yaklaşımı ile hasta değerlendirilmelidir.
- Hava yolu güvenliği sağlanmalı ve desteklenmelidir. Bilinç değişikliği olan hastalarda aspirason açısından dikkatli olunmalı.
- Oksijen desteği sağlanmalı SpO2 %94′ ün üzerinde tutulmaya çalışılmalı.
- Hastanın kardiyak, KB ve SpO2 monitörizasyonu sağlanmalıdır.
- IV erişim sağlanmalıdır. Mümkün ise 16-18 gauge kanüller kullanılmalıdır. Aşırı hidrasyondan kaçınmak gerekir.
- Hastanın baş kısmı 30-40 derece yükseltilmelidir.
- Hipertansiyonun prognozu kötüleştirebileceği düşünülmektedir. Bu amaçka bir uzman yardımı istenip kan basıncı kontrolü hakkında yönlendirme almak en doğrusudur.
- Hastaya mümkün ise nazogastrik kateter takılmalı ve mide içeriği boşaltılmalıdır.
- Hastanın kusması İCP’i arttıracağı için kaçınılmalı ve ondansetron, proklorperazin, prometazin, metoklopramid veya difenhidramin kombinasyonu ile tedavi edilmelidir
- Eğer hasta nöbet geçiriyorsa levetirasetam (Keppra) kullanılarak önleyici antikonvülzan tedavi düşünülebilir.