Soru Bankası
Hazırlık / Yan Dal Sınavı / 2024
⚡⚡⚡

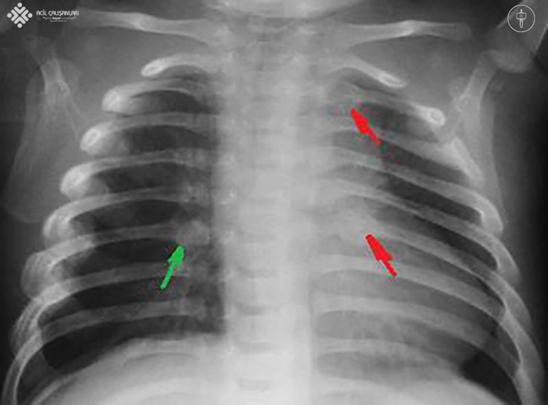
4 aylık bir kız çocuğunu annesi soluk almama nedeni ile acil servise getiriyor. Annesinden alınan mevcut hastalık öyküsünde, çocuğun 30 saniye nefes almadığını, dudaklarının maviye döndüğünü ve annesinin ağzından soluk vermesi ile nefes almaya devam ettiğini söylüyor. Anne ayrıca hastanın olaydan önce hiçbir semptomunun olmadığını belirtiyor. Çocuk anne sütüyle besleniyor ve tüm aşıları yapılmış. Fizik muayenede hasta uyanık ve ağlıyor, oksijen satürasyonu oda havasında %97 ve her iki burun deliğinde kurumuş kan mevcut. Kalp, akciğer ve karın muayenesi bulguları normal. Hastanın laboratuvar testleri normal. Çekilen beyin BT'sinde akut bulgu görülmüyor. Hastanın göğüs röntgeni aşağıda verilmiştir. Bu hasta için en olası tanınız nedir?
A) A- Anne tarafından yapılan kalp masajı
B) B- D vitamini eksikliği raşitizm
C) C- Çocuk istismarı
D) D- Pnömoni
E) E- Osteogenezis imperfekta
Öğrenim Noktaları
Hastamızın röntgen grafisinde oklarla belirtilen alanlarda yeni ve eski kırıklar görülmektedir ve burnundan kan gelmesi istismarı düşündürmektedir. Dünya Sağlık Örgütü (WHO) çocuklara yönelik kötü muameleyi, 'çocuğun sağlığına, gelişimine veya onuruna fiili veya potansiyel zarar veren her türlü fiziksel ve duygusal kötü muamele, cinsel istismar, ihmal ve sömürü' olarak tanımlamaktadır.
Dört ana istismar türü şunlardır:
- İhmal
- Fiziksel
- Psikolojik
- Cinsel