Soru Bankası
Soru Bankası
⚡

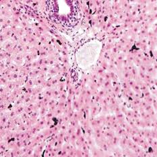
Bir deney hayvanına karbon partikül içerikli vital boya uygulamasından beş saat sonra karaciğerden alınan doku kesiti, hematoksilen-eozin ile boyanıp ışık mikroskobunda inceleniyor. (Atom ağırlıkları; C=12,0 g/moL, H=1,0 g/moL, O=16,0 g/moL, N=14,0 g/moL)
A) Perisit
B) Kupffer hücresi
C) Hepatosit
D) İto hücresi
Öğrenim Noktaları
Cevap: B) Kupffer hücresi Açıklama: Kupffer hücreleri, karaciğerin makrofajlarıdır ve karaciğerin sinüzoidlerinde bulunurlar. Vital boya ile uygulanan karbon partiküllerini fagosite etme özellikleri sayesinde, bu hücreler mikroskop altında siyah renkte görünür. Karbon partiküllerini yakalayıp sindiren Kupffer hücreleri, bu nedenle deneyde siyah renkte görülen hücrelerdir. Bu özellik, onları diğer hücrelerden ayırt etmeyi sağlar.