Soru Bankası
Soru Bankası
⚡

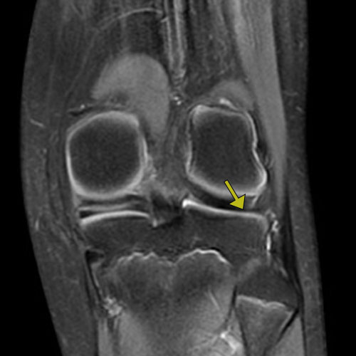
Aşağıda verilen sol diz MR görüntüsünde ok ile işaretli anatomik yapı aşağıdakilerden hangisidir?
A) Ligamentum cruciatum anterius
B) Ligamentum cruciatum posterius
C) Meniscus lateralis
D) Meniscus medialis
E) Ligamentum patellae
Öğrenim Noktaları
Cevap: C) Meniscus lateralis Açıklama: Diz eklemi MR görüntülerinde menisküs yapıları, femur ile tibia arasında yer alır ve iki temel parçadan oluşur: medial menisküs ve lateral menisküs. Eğer görüntüdeki ok işareti dizin dış kısmına yakın bir bölgeyi işaret ediyorsa, bu yapı büyük olasılıkla Meniscus lateralis olarak adlandırılan dış menisküs olacaktır. Meniscus lateralis, dizin dış kısmında, medial menisküs ise dizin iç kısmında yer alır. Bu bağlamda, işaretlenen yapı dizin dış kısmında görüldüğü için doğru seçenek C) Meniscus lateralis olarak belirlenmiştir.